Sun, Nov 16, 2025 | Jumada al-Awwal 25, 1447 | Fajr 05:16 | DXB
23.2°C

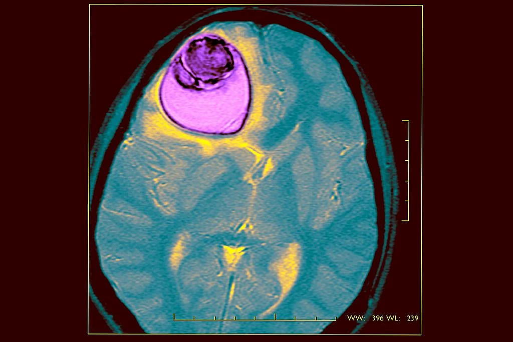
An Indian girl who was mysteriously paralysed down one side of her body was operated on by doctors where they found a tape worm cyst almost half the size of her brain.
According to a Daily Mail report, the Indian girl named Nita Juggi suffered from seizures, headaches and weakness for more than two years.
The girl's family lived in unhygienic conditions in the Indian state of Gujarat where she was infected with tapeworms. They took her to many doctors who couldn't figure out what illness she suffered from.
Finally, her parents had to sell their gold jewellery to take her to a specialist neurosurgeon Dr Solanki in Gujarat where it was discovered that she had a hydatic cyst from an intestinal tapeworm.
He said to the Daily Mirror, "I believe the hydatid cyst had been slowly growing in the girl for the past eight to 10 years. But as it got bigger it had more affect on her day to day life and her headaches were getting worse."
The surgery was performed two months ago and the girl was discharged soon after spending a two-weeks in a hospital.
Live science reports that, before they become adults tapeworms are larvae that can break down and enter the bloodstream and travel through the body eventually ending up in the person's brain.
This is not the first time doctors have found a life threatening cyst in a person's brain. TheSun reported that a boy's headaches along with vomiting and blurry vision was caused by giant parastitic cyst of tapeworm eggs in his brain.