Sat, Dec 06, 2025 | Jumada al-Thani 15, 1447 | Fajr 05:28 | DXB
26.3°C
Doctor who performed the procedure urges people to eat healthy and avoid smoking, as this helps recovery after operations

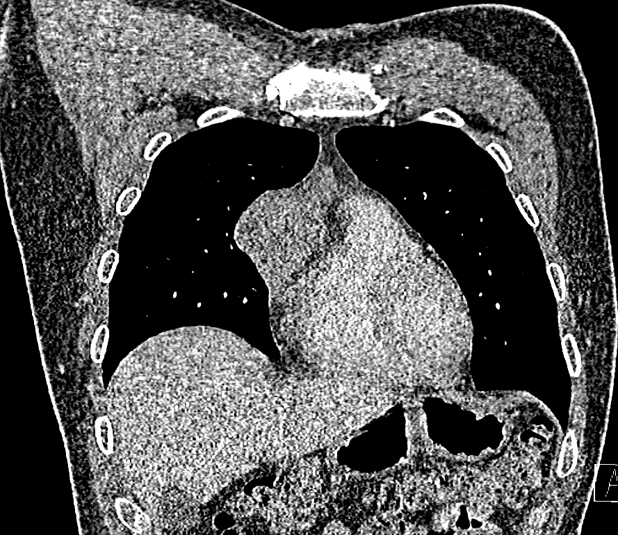
An Emirati man, a 44-year-old member of the UAE Armed Forces, is relieved after a large mediastinal tumour has been removed through a rare surgery performed in Abu Dhabi's Sheikh Shakhbout Medical City in partnership with Mayo Clinic (SSMC).
It was by sheer coincidence that the Emirati man recently discovered a 7cm tumour in his chest following a medical examination.
“I never experienced any pain. My tumour was initially detected during a regular medical examination for work. At that private hospital in Al Ain, there's an imaging procedure that specialises in detecting cancer cells. The test results showed that I had a lump in my chest. The doctor confirmed the presence of a cancerous tumour. I was referred to SSMC to see Dr Black, as he is a top specialist in thoracic surgery,” the Emirati said.
Dr Edward Alexander Black, consultant thoracic surgeon, is unsure how people get these rare tumours.
“They start off as a benign growth related to immune disease and sometimes change to malignant tumours. These malignant thymoma tumours grow slowly and eventually encase the lung and heart as well as spread around the patient's body. For this patient, it had not spread beyond the tumour mass. But yes, it is a serious disease.”
Talking about the initial diagnosis, Dr Black said: “This tumour was part of an immune problem of the thymus gland in the chest. This was producing antibodies that affect the ability of nerves to activate muscles, so the symptoms are generalised fatigue that gets worse each day, better after sleep and so on.”
Usually, the surgery will involve splitting the breastbone, but Dr Black used a minimally invasive approach to remove the tumour, the surrounding tissue, and lymph nodes without splitting his breastbone or ribs.
“Thoracoscopic thymectomy is preferred over open thymectomy as it reduces pain and body stress thus accelerating recovery and reducing complications. However, it is generally much more difficult for tumours greater than 3 or 4 cm diameter. By careful dissection and using a novel technique to extract the mass and attached nodes the benefits of minimally invasive surgery were provided for our patient.”
Dr Black underlined that removing a 7cm diameter tumour was challenging.
“The larger the size the more advanced the tumour and the increased risk that the surgery will be incomplete (small pieces left). Also, larger tumours need combined treatment with radiotherapy as well as surgery. This patient had full removal so radiotherapy was for additional security.”
The tumour was not breached and removed from his body through a small incision on the upper abdomen. The patient didn't experience any significant pain and was discharged the next morning. He is currently undergoing follow up treatment to ensure that the tumour has the lowest possible chance of recurrence.
“Recurrence is a risk for malignant thymomas, especially the large ones, which is why we provide prophylactic radiotherapy. Recurrence can be very late as these tumours grow slowly so CT scan of his chest will be offered at post operation 1 year, 2 years then every 2 years after that.”
Dr Black urges community members to follow a healthy diet and avoid smoking.
“This tumour is not related to diet and smoking but recovery from surgery is much easier if you are healthy. The risk of developing more aggressive cancers like lung cancer is much lower if you follow the healthy lifestyle advice, which surely everyone is well aware of, but of course sometimes difficult to follow all the time.”
The Emirati patient is doing follow-up check-ups and requesting people to get screened.
“I noticed an improvement immediately after my surgery. Any fears I had disappeared after the surgery, and I've been more at ease. Now I visit the hospital for regular check-ups to follow up on my condition. A lot of people hesitate to get screened, but I would greatly advise them to get checked regularly,” he added.
The thoracic surgery division at SSMC in partnership with Mayo Clinic is the only surgery unit in the UAE to offer the full range of thoracic surgery care from trauma, infection, and pleural diseases to cancer including curative and palliative care. Also, SSMC is the referral centre for hospitals and other specialties for complex thoracic cases.
ALSO READ:
Dubai: Indian expat survives heart attack despite arteries being nearly 100% blocked
UAE: Doctors perform rare, first-in-Mena surgery on octogenarian to prevent brain stroke
UAE: New tech can help residents live beyond 100 years old, says healthcare group