Sat, Jan 17, 2026 | Rajab 28, 1447 | Fajr 05:45 | DXB
20.3°C
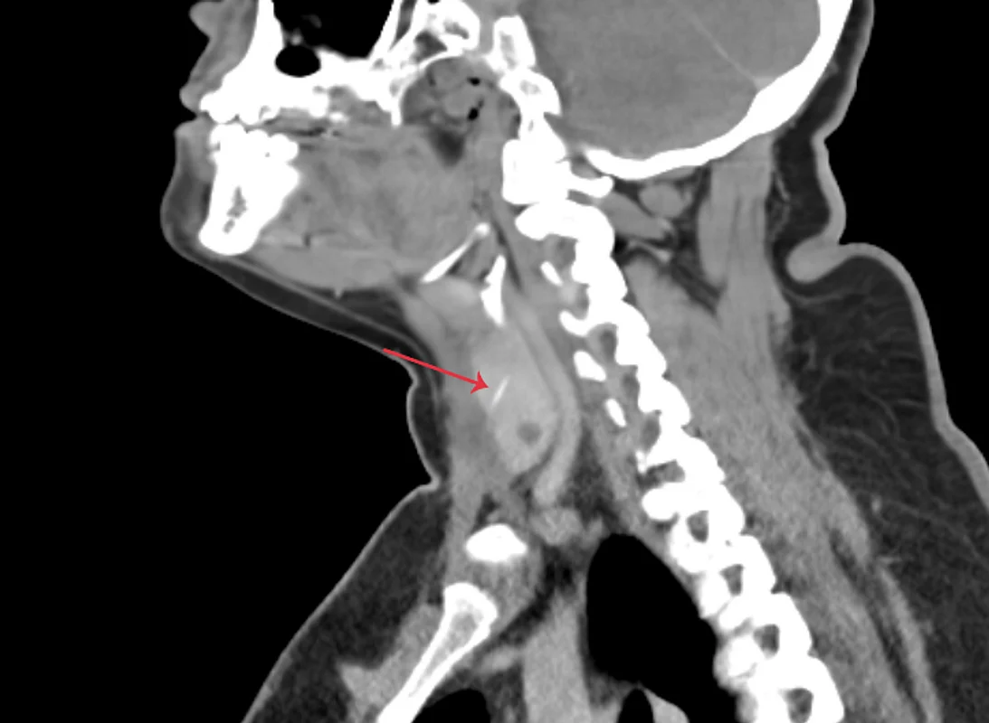
Doctors found that the 3cm long bone had travelled down from her throat and lodged in her thyroid gland

When a 48-year-old Dubai resident had a fishbone stuck in her throat while on holiday, she initially ignored it, hoping it would travel down on its own. Although the fish bone dislodged from her throat and she had no immediate symptoms, the Indian expat began experiencing pain after a few days. This prompted her to rush to the emergency room.
The doctors found that the 3cm long bone had travelled down from her throat and lodged in her thyroid gland- something that could have life-threatening consequences. It was then surgically removed by a team of doctors from Aster Hospital Mankhool.
Stay up to date with the latest news. Follow KT on WhatsApp Channels.
Speaking to Khaleej Times, Dr Deepak Janardhan, E.N.T, Head & Neck Surgery Specialist at the hospital, said that although the procedure was for 15-minute, the team was initially worried about complications. “If the fishbone had broken and a portion remained inside, we would have had to partially or entirely remove that gland,” he said. "But luckily, we were able to remove the bone intact and there were no other issues."
"She tried home remedies like swallowing a ball of rice and by the next day, she began to feel better,” said Dr Deepak. “However, it was a week later that she began experiencing neck pain.”
With the pain, she consulted a local clinic where initial examinations did not reveal anything. However, a following sonogram identified a suspicious linear object and she was referred to Aster Hospital Mankhool for specialised care.
At the hospital, the patient underwent a CT scan which confirmed the presence of a 3cm bone embedded in the right thyroid lobe, penetrating the strap muscle. A surgical intervention was conducted under general anaesthesia, during which the bone was successfully extracted, and the wound meticulously closed.
"Our approach involved careful planning and precise surgery to completely remove the fish bone and ensure the patient's optimal recovery,” said Dr Bharath Rao, E.N.T, Endoscopic Nasal & Micro Ear Surgery Specialist. “It's crucial for individuals to seek medical attention if they experience persistent symptoms after swallowing a foreign object."
Although fish bones getting stuck in the throat is a common occurrence, especially among those who include a lot of seafood with bones in their diet, it is extremely rare for a fish bone to travel down to the thyroid gland, according to doctors.
"Fish bones being lodged in the throat can quickly escalate to serious complications if not promptly addressed," said Dr Deepak. "In an extraordinary turn of events, this particular fish bone migrated to the thyroid gland-a rare and alarming occurrence. This is the first time that I have seen such an occurrence. The patient was lucky that the bone was long and a portion of it was sticking out of the gland. Otherwise, it would have been difficult for us to diagnose it."
He further explained that there are similar rare chances of fishbones piercing through the soft tissues and going through the spine where it could get lodged and form an infection. In extremely rare cases, it could also pierce a major vessel supplying to the brain. He advised people to be careful about fishbone ingestions.
"Statistically, it is very rare for a fish bone to cause major infections like these," he said. "However, if the patient has a symptom that persists for over two or three days and the pain is increasing, they should definitely consult a doctor."
ALSO READ:
UAE: Nearly 16kg 'watermelon' tumour extracted in 5-hour surgery
80% burns, 3-month coma: UAE expat's miraculous recovery after fire incident